IMPLANTS
HOME
ABOUT US
COSMETICS
ORAL HEALTH
APPOINTMENTS
CONTACT US
IMPLANTS
Procedure
Portfolio
Portfolio
Multiple Units
Implant Bridges
Overdentures
Single Unit
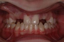
Multiple Units
Full Mouth Implant Bridges
Full Mouth Implant Bridges
Multiple Units
Telephone: +44(0)207 937 9000
© Dental Rejuvenation 2026